
你知道吗?最近我在网上刷到了一些超级有趣的成人洗牙科普视频,简直就像看了一场牙齿的“大片”!今天,我就来和你好好聊聊这些视频,让你对洗牙有个全新的认识。牙齿的“美容师”...
你知道吗?最近我在网上刷到了一些超级有趣的成人洗牙科普视频,简直就像看了一场牙齿的“大片”!今天,我就来和你好好聊聊这些视频,让你对洗牙有个全新的认识。

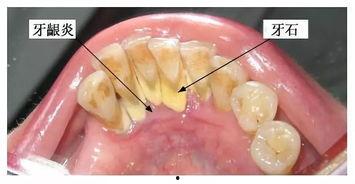
你知道吗,洗牙其实就像给牙齿做了一次彻底的SPA呢!想象那些藏在牙缝里的污垢、牙菌斑,还有那些顽固的牙结石,全都被洗牙师用专业的工具给清理干净了。这样一来,你的牙齿不仅会焕然一新,还能预防各种口腔疾病呢!

这些科普视频真是让我大开眼界!有的视频是真人演示,洗牙师一边操作一边讲解,让你看得清清楚楚。还有的视频是动画形式,把洗牙的过程用卡通形象展示出来,既生动又有趣。
比如,有一个视频里,洗牙师用一把类似刷子的工具,轻轻地刷过牙齿表面,然后又用一个小小的超声波仪器,把牙结石震碎。看着那些牙结石像小石头一样被震落,真是让人心情愉悦啊!

看完这些视频,你是不是对洗牙的好处有了更深的了解呢?让我来给你列举几个:
1. 预防牙周病:牙结石是牙周病的罪魁祸首,洗牙可以有效地去除牙结石,降低牙周病的风险。
2. 改善口腔异味:口腔异味往往是因为牙结石和食物残渣导致的,洗牙后口气清新,整个人都精神焕发。
3. 恢复牙齿光泽:长期积累的牙垢会让牙齿失去光泽,洗牙后牙齿恢复原本的亮白,让你自信满满。
4. 提升口腔健康:定期洗牙可以保持口腔环境的清洁,预防口腔疾病,让你远离牙痛的困扰。
虽然洗牙好处多多,但也有一些注意事项需要你了解:
1. 选择正规医院:洗牙一定要去正规的医院或诊所,确保操作安全。
2. 提前预约:洗牙需要预约,提前做好准备,以免耽误时间。
3. 术后护理:洗牙后要注意口腔卫生,避免吃刺激性食物,以免引起不适。
4. 定期复查:洗牙后要定期复查,了解口腔健康状况,及时处理问题。
我想问问你,你看过哪些有趣的洗牙科普视频呢?有没有什么特别推荐的呢?快来和我分享一下吧!让我们一起学习,让牙齿更加健康美丽!